Medical Care
Rapamycin
Rapamycin ([Rapamune] or sirolimus) is a commercially available immunosuppressant, which forms an inhibitory complex with the immunophilin FKBP12, which binds to and inhibits the ability of mTOR to phosphorylate downstream substrates, such as the S6Ks and 4EBPs. It is marketed as an immunosuppressant, owing to its propensity to inhibit T-cell proliferation, and has been approved for use in this therapeutic setting in the United States since 2001.
Two derivatives of rapamycin, RAD001 (everolimus [Certican]) and a prodrug for rapamycin, CCI-779 or temsirolimus, are in clinical development in a number of therapeutic indications, including oncology. They act in a similar fashion to rapamycin, although their pharmacokinetics, bioavailability, and adverse effect profiles may differ. In oncology trials, common adverse effects include aphthous oral ulcers, hyperlipidemia, thrombocytopenia, acneiform rash, immunosuppression, and impaired wound healing.
On November 1, 2010 everolimus (Afinitor) was approved by the FDA for SEGAs associated with tuberous sclerosis that cannot be treated with surgery.
Animal studies have demonstrated the ability of rapamycin to inhibit the aberrant growth of TSC-deficient cells in vitro and to induce apoptosis of renal tumors in animal models of TSC. A clinical trial of rapamycin for renal angiomyolipomas (AMLs) associated with tuberous sclerosis or lymphangioleiomyomatosis (LAM) published in 2008 by Bissler et al in the New England Journal of Medicine revealed an almost 50% decrease in AML volumes by the end of the 12-month rapamycin administration period. There were also improvements in forced expiratory volume (FEV1), forced vital capacity (FVC) and residual volume (RV) in patients with pulmonary LAM. Although some of these benefits were lost when the rapamycin was discontinued, the therapy demonstrates the targeted effects of rapamycin on mTOR within the context of tuberous sclerosis and provides promise as a palliative and future treatment strategy in these conditions. [14]
A phase 2 multicenter trial to evaluate the efficacy and tolerability of the mTOR inhibitor, sirolimus, for the treatment of kidney angiomyolipomas was recently published. Thirty-six adults with TSC or TSC/LAM were enrolled and started on daily sirolimus. The overall response rate was 44.4%; 47.2% had stable disease and 8.3% were not evaluable. The mean decrease in kidney tumor size was 29.9%. Kidney angiomyolipomas regrew when sirolimus was discontinued, but responses persist if treatment was continued after week 52. Regression of brain tumors (subependymal giant cell astrocytomas [SEGAs]) in 7 of 11 cases, regression of liver angiomyolipomas in 4 of 5 cases, subjective improvement in facial angiofibromas in 57%, and stable lung function in women with TSC/LAM were also noted. A correlative biomarker study showed that serum VEGF-D levels are elevated at baseline, decrease with sirolimus treatment, and correlate with kidney angiomyolipoma size. [15]
Sirolimus treatment for 52 weeks induced regression of kidney angiomyolipomas, SEGAs, and liver angiomyolipomas. Serum VEGF-D may be a useful biomarker for monitoring kidney angiomyolipoma size. Future studies are needed to determine benefits and risks of longer-duration treatment in adults and children with TSC.
Rapamycin is thought to cross the blood-brain barrier to a limited, but unknown, extent. Regression of SEGAs in association with oral rapamycin therapy was reported. [16] This observation, while encouraging, required further study to confirm both the effect of mTOR inhibitors and their appropriate use in the treatment of giant cell astrocytomas.
An phase I/II, prospective, open-label clinical trial is underway to study the impact of everolimus, an mTOR inhibitor, on SEGA growth. It includes patients who are at least age 3 years, with tuberous sclerosis and demonstrated SEGA growth on serial MRI scans of the brain. Primary outcomes include measures of SEGA volume and type and frequency of adverse events associated with the medication. Secondary measures assess the impact of everolimus on seizure activity, EEG characteristics of patients with SEGA, and quality-of-life and neuropsychometric measures.
Data from this study indicated that everolimus therapy was associated with marked reduction in the volume of SEGAs and seizure frequency, which suggests everolimus therapy maybe a potential alternative to neurosurgical resection in some cases. It is also indicated that everolimus therapy is associated with an improvement in quality-of-life measures and no change in neuropsychiatric parameters. Although some adverse events were associated with the everolimus treatment, 97% of these adverse events were classified as mild/moderate, and in all cases the medication was able to be resumed after recovery from adverse event symptoms. [17]
Although facial angiofibromas are benign tumors, they can be bothersome for TSC patients and there is no effective treatment. Laser therapy has been used with good responses, but it causes painful complications and is associated with a very high recurrence rate. In recent studies, topical rapamycin was shown to be very effective in treating facial angiofibromas in TSC patients without significant adverse effects. [18]
Other treatment
The goals of treatment for patients with TSC are the same as for all patients with a multisystem chronic disease: providing the best possible quality of life with the fewest complications from the underlying disease process, fewest adverse treatment effects, and fewest medications.
TSC often has been undertreated, particularly from a neurologic standpoint, often based on the view that these individuals will have a poor outcome regardless of any therapy undertaken. This is clearly not the case. Even in individuals with TSC and infantile spasms, long-term outcome is not universally poor, as has been classically thought. In our clinic population, approximately 10% of individuals with TSC and infantile spasms have normal intelligence as adults or at long-term follow-up (see image below). Owing to their age, most of these persons did not receive treatment with vigabatrin.
This father and all 3 children have tuberous sclerosis complex. The children are now grown up and of normal intelligence, including the young lady at left who is cushingoid from therapy with adrenocorticotropic hormone for infantile spasms.
Appropriate and effective therapy is not only aggressive, but also relies upon recognition of the natural history of the various lesions of TSC. For example, large AMLs may be taken to be renal cell carcinomas, solely on the basis of their size. Unnecessary nephrectomy may result.
The main complication of TSC requiring long-term medical therapy is epilepsy. Antiepileptic medications (AEDs) are the mainstay of therapy for patients with TSC. Unfortunately, no one medical treatment gives satisfactory relief for all or even most patients. A combination of medical treatment modalities frequently is required.
The choice of specific AED(s) for treating seizures in patients with TSC is based on the patient's seizure type(s), epilepsy syndrome(s), other involved organ systems, age of the patient, and AED side effect profiles and formulations available.
-
Long-term use of agents with prominent sedating properties, such as benzodiazepines or barbiturates, generally should be avoided. These drugs often aggravate underlying behavioral or cognitive problems and have many less toxic and often more effective alternatives.
-
Carbamazepine, oxcarbazepine, and phenytoin may cause exacerbation of seizures, particularly in younger children and infants, and some authors believe that these AEDs can precipitate or aggravate infantile spasms. While often valuable in older children and adults, in whom partial seizures predominate, caution is warranted in their use in infants and young children. They should not be used in children with TSC who are experiencing infantile spasms.
Surgical Care
Surgical care for seizures in a patient with TSC can involve focal cortical resection, corpus callosotomy, or vagus nerve stimulation.
-
Focal cortical resection: [26] In most patients with TSC, resection of a cortical tuber is considered palliative rather than curative. Many fear that, after one epileptic focus has been removed, another will take its place in producing seizures. The growing body of experience with epilepsy surgery in TSC indicates that, in selected cases, surgery can be extremely beneficial (see following image).
The child whose CT scan is shown presented with medically intractable epilepsy thought to be due to partial hemimegalencephaly. She became seizure free after partial hemispherectomy. Pathology was consistent with a cortical tuber. She was subsequently found to have multiple ash leaf macules and diagnosed with tuberous sclerosis.
-
Corpus callosotomy: Corpus callosotomy can be effective in reducing atonic and tonic seizures (ie, drop attacks) but typically is not helpful for other seizure types and is considered palliative rather than curative. Seizure freedom following corpus callosotomy is rare but can occur.
-
Vagus nerve stimulation: In one report, 9 of 10 patients with TSC and treatment-resistant epilepsy experienced (without adverse events) at least a 50% reduction in seizure frequency; half had a 90% or greater reduction in seizure frequency following treatment with vagal nerve stimulation (VNS). More recent studies have confirmed the role of VNS in persons with TSC. Simple and complex partial seizures appear to respond better than partial seizures with secondary generalization.
-
SEGAs require resection if they produce hydrocephalus or significant mass effect. If a gross total resection can be achieved, recurrence is unlikely. The authors have had good results with stereotactic placement of a modified angioplasty balloon catheter via a burr hole in proximity to the lesion. The balloon is then gradually inflated over several days to create a tract for removal of the SEGA. At final operation, the balloon is deflated, the catheter is removed, and the tumor is resected. [27] An illustrative example is shown in the following images.
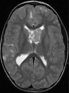
Subependymal giant cell astrocytoma prior to stereotactic insertion of balloon catheter as seen on T2-weighted MRI.
Consultations
Epilepsy and other neurological problems are the most common causes of morbidity in TSC. Pediatric and/or adult neurologic consultation is recommended. Genetics evaluation is valuable to screen family members and provide genetic counseling. Prenatal diagnosis is generally not possible unless the parents' TSC genotype is already known, or stigmata such as a cardiac rhabdomyoma are seen on fetal ultrasound.
-
Pediatric neuropsychologists can assess intellectual function and educational needs and advise on nonpharmacologic management of behavioral problems. Because children with TSC are at developmental risk, neuropsychologic assessment is recommended at diagnosis and prior to entering school. Neuropsychologic evaluation is useful for adults with specific cognitive and/or behavioral issues.
-
Pediatric psychiatrists can advise on pharmacologic management of behavioral problems.
-
Neurosurgeons can assist in the placement of a vagus nerve stimulator and assess the patient as a candidate for corpus callosotomy or focal resection.
-
Nephrologic consultation is necessary for individuals with polycystic kidney disease, large (ie, > 4 cm) or symptomatic AMLs, or end-stage renal disease.
-
Pulmonary medicine consultation is necessary for individuals with LAM, pneumothorax, or other types of lung involvement.
-
Dietitians can assist in the institution and maintenance of the ketogenic diet.
Diet
Ketogenic diet
The ketogenic diet is composed of a 2:1, 3:1, 4:1, or higher ratio of fats (ketogenic foods) to proteins and carbohydrates (antiketogenic foods). In general, the benefits of the diet for people with epilepsy include fewer seizures, less drowsiness, better behavior, and need for fewer concomitant AEDs.
No specific study has addressed the efficacy and safety of the ketogenic diet in patients with TSC. However, multiple open-label studies have examined the efficacy and safety of the ketogenic diet for patients with Lennox-Gastaut syndrome—a devastating epilepsy syndrome seen in children with TSC. Efficacy appears greatest for atonic, myoclonic, and atypical absence seizures, but other seizure types (tonic-clonic, secondarily generalized tonic-clonic) also seem to respond. Seizures often decrease in frequency shortly after initiation of the diet, but some patients may not respond for months. When the diet should be weaned in patients who are seizure free for extended periods is not clear.
The diet is not always successful. The following 3 factors are associated with successful implementation of the diet:
-
Dedicated, compliant family willing to alter the entire family's lifestyle
-
Family able to follow (without wavering) the strict guidelines of the diet
-
Team of professionals (centered around a dietitian) trained and experienced in the use of the diet
Potential serious adverse effects include dehydration, clinically significant metabolic acidosis when the diet is initiated, renal stones, cardiac abnormalities, and abnormal lipid profile.
-
Enhancing subependymal nodules, including a probable giant cell astrocytoma in the region of the foramen of Monro. Subependymal nodules may increase in size over time from one scan to the next, and then stabilize. This lesion had not changed with serial imaging over 2 years. The patient remains asymptomatic and is monitored closely for any deterioration.
-
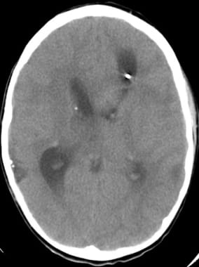
Hydrocephalus from a subependymal giant cell astrocytoma in a patient with tuberous sclerosis. The patient presented with acute blindness and ataxia.
-
Facial angiofibromas in a young man with tuberous sclerosis complex.
-
Dysplastic periungual fibroma involving the great toe in a patient with tuberous sclerosis.
-
Gingival fibromas (see arrows) in a patient with tuberous sclerosis. A stain outlines dental pits and craters. Gingival hyperplasia from other causes (eg, phenytoin use) is more diffuse and usually not nodular/focal in nature.
-
Typical ash leaf macules; the reddish, nodular area at the upper lumbar area is a shagreen patch.
-
Atrial rhabdomyoma as seen on cardiac CT scan in a patient with tuberous sclerosis.
-
Nonobstructive ventricular rhabdomyomas in a patient with tuberous sclerosis.
-
Ventricular rhabdomyomas may diffusely infiltrate the myocardium, as in this patient with tuberous sclerosis. The patient presented with cardiac failure and hydrops at birth. After a period of intensive supportive care and inotropic therapy, she now has essentially normal cardiac function and is on no medications.
-
Multifocal pulmonary cysts characteristic of lymphangiomyomatosis. As many as 40% of women with tuberous sclerosis have pulmonary cysts on chest CT scan.
-
Massive bilateral angiomyolipomas in a woman with tuberous sclerosis. She also has lymphangiomyomatosis.
-
Pre-embolization angiography of the patient with angiomyolipomas shown the previous image. Dysplastic arterial vessels are demonstrated.
-
Vessels to the angiomyolipoma shown in the previous image have been occluded with coils. This should produce regression of the lesion and prevention of hemorrhage. Functional intervening renal parenchyma is preserved.
-
Enamel pitting in tuberous sclerosis. Pinpoint size pitting (A) and crater size pitting (B) are visible. Red dye is used to enhance recognition.
-
Basilar artery aneurysm in a 2-year-old girl with tuberous sclerosis. The arrow shows the anterior aspect of the aneurysm where it abuts the clivus. The lesion was not present on MRI performed 11 months earlier.
-
This presumed tuber was first noted in the left frontal region. It expanded in size, affecting adjacent structures across the midline and resulting in calcifications still evident in the right frontal region. The tuber then spontaneously involuted. About 20% of tubers may show changes in imaging characteristics over time, requiring close imaging follow-up. This patient remained asymptomatic from the mass effect, and his seizures resolved as the lesion involuted.
-
This father and all 3 children have tuberous sclerosis complex. The children are now grown up and of normal intelligence, including the young lady at left who is cushingoid from therapy with adrenocorticotropic hormone for infantile spasms.
-
The child whose CT scan is shown presented with medically intractable epilepsy thought to be due to partial hemimegalencephaly. She became seizure free after partial hemispherectomy. Pathology was consistent with a cortical tuber. She was subsequently found to have multiple ash leaf macules and diagnosed with tuberous sclerosis.
-
Multiple tubers in a child with tuberous sclerosis, normal intelligence, and well-controlled seizures. High tuber count does not invariably mean poor neurological outcome.
-
All tubers are not equal. This child has a smaller number of tubers than the patient shown in the previous image, but the tubers are larger in size. She too has normal intelligence and is seizure free on medication.
-
Mammalian target of rapamycin (mTOR) activates the protein S6 kinase, which enhances cell growth and protein synthesis. It, in turn, is regulated by multiple factors, including insulin, amino acids, the drugs rapamycin and its congeners (eg, RAD001), and the TSC gene products via the GTPase-activating protein Rheb.
-
Subependymal giant cell astrocytoma prior to stereotactic insertion of balloon catheter as seen on T2-weighted MRI.
-
Modified angioplasty catheter used in creation of surgical tract for astrocytoma resection.
-
Catheter placed in proximity to lesion, balloon inflated.
-
Postoperative T2-weighted MRI in a patient with subependymal giant cell astrocytoma showing gross total resection of giant cell astrocytoma with minimal disruption of overlying cortex.
-
Mean reduction in simple and complex partial seizures in patients with tuberous sclerosis complex (TSC) who were treated with vagus nerve stimulator at the author's institution at 6 and 12 months. Overall reduction in secondarily generalized seizures was 22% at 12 months (N = 17; 10 boys, 7 girls, aged 3-12 y).
-
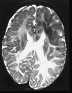
Regression of a giant cell astrocytoma after approximately 15 months oral rapamycin therapy in a 4-year-old patient with tuberous sclerosis.




