Approach Considerations
In patients with chronic lymphocytic leukemia (chronic lymphoid leukemia, CLL), the complete blood count (CBC) with differential shows absolute lymphocytosis, with more than 5000 B-lymphocytes/µL. Lymphocytosis must persist for longer than 3 months. Clonality must be confirmed by flow cytometry. The presence of a cytopenia caused by clonal bone marrow involvement establishes the diagnosis of CLL regardless of the peripheral B-lymphocyte count.
Patients with fewer than 5000 B-lymphocytes/µL with lymphadenopathy and without cytopenias more likely have small lymphocytic lymphoma (SLL), although this diagnosis should be confirmed by lymph node biopsy.
Patients with a clonal B-cell population less than 5000/µL without lymphadenopathy or organomegaly, cytopenia, or other disease-related symptoms have monoclonal B-lymphocytosis (MBL). MBL will progress to CLL at a rate of 1-2% per year.
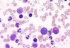
Microscopic examination of the peripheral blood smear is indicated to confirm lymphocytosis. It usually shows the presence of smudge cells, depicted in the image below, which are artifacts from lymphocytes damaged during the slide preparation.
Peripheral smear from a patient with chronic lymphocytic leukemia, large lymphocytic variety. Smudge cells are also observed; smudge cells are the artifacts produced by the lymphocytes damaged during the slide preparation.
Large atypical cells, cleaved cells, and prolymphocytes are also often seen on the peripheral smear and may account for up to 55% of peripheral lymphocytes. If this percentage is exceeded, prolymphocytic leukemia (B-cell PLL) is a more likely diagnosis.
Peripheral blood flow cytometry is the most valuable test to confirm a diagnosis of chronic lymphocytic leukemia (chronic lymphoid leukemia, CLL). It confirms the presence of circulating clonal B-lymphocytes expressing CD5, CD19, CD20(dim), CD 23, and an absence of FMC-7 staining.
Consider obtaining serum quantitative immunoglobulin levels in patients developing repeated infections, because monthly intravenous immunoglobulin administration in patients with low levels of immunoglobulin G (IgG) (<500 mg) may be beneficial in reducing the frequency of infectious episodes.
The differential diagnosis (see DDx) of CLL includes several other entities, such as hairy cell leukemia, which is moderately positive for surface membrane immunoglobulins of multiple heavy-chain classes and is typically negative for CD5 and CD21.
Prolymphocytic leukemia has a typical phenotype that is positive for CD19, CD20, and surface membrane immunoglobulin; one half will be negative for CD5. Large granular lymphocytic leukemia has a natural killer (NK) cell phenotype (CD2, CD16, and CD56) or a T-cell immunotype (CD2, CD3, and CD8). The pattern of positivity for CD19, CD20, and the T-cell antigen CD5 is shared only by mantle cell lymphoma; these cells generally do not express CD23.
Splenic lymphoma with villous lymphocytes is strongly positive for surface immunoglobulin, and positive for FMC-7, CD22, CD79b, and DBA-44. Follicular lymphoma is also strongly positive for surface immunoglobulin, positive for FMC-7, CD22, CD10, CD79b, and weak CD23.
Bone marrow aspiration and biopsy with flow cytometry is not required in all cases of CLL. However, it may be necessary in selected cases to establish the diagnosis and to assess other complicating features such as anemia and thrombocytopenia.
Liver/spleen ultrasonographic studies may demonstrate splenomegaly in patients with CLL. CT scanning of the chest, abdomen, or pelvis is generally not required for staging purposes in CLL. However, be careful to not miss lesions such as obstructive uropathy or airway obstruction that are caused by lymph node compression on organs or internal structures.
Serum free light chain (FLC) assays remain a research tool. Monoclonal and polyclonal abnormalities have been detected in half the patients and appear to be associated with poor time to first treatment. [15]
Chromosomal Testing
Although not necessary for the diagnosis or staging of CLL, additional molecular testing now exists that may help predict prognosis or clinical course. [16, 17, 18, 19] The National Comprehensive Cancer Network regards the following tests as informative (but not essential) for determining prognosis, therapy, or both in CLL [20] :
-
Fluorescence in situ hybridization (FISH) to detect +12; del(11q); del(13q); del(17p)
-
CpG-stimulated metaphase karyotype for complex karyotype
-
Molecular analysis to detect immunoglobulin heavy chain region (IgV H) mutation status
-
Determination of CD38 and ZAP-70 expression by flow cytometry, methylation, or immunohistochemistry
-
TP53 sequencing
However, a systematic review and meta-analysis by Parikh and colleagues recommended that FISH and IGVH status be performed as standard clinical tests for all patients with newly diagnosed CLL patients in those countries with the resources to do so. These authors argue that use of these tests allows the application of powerful, recently developed prognostic indices to CLL cases. [21]
Chromosomal evaluation using FISH can identify certain chromosomal abnormalities of CLL with prognostic significance. Patients with a deletion in the short arm of chromosome 17 [del(17p)] tend to have a worse prognosis, as well as resistance to therapy with alkylating agents and purine analogues. Patients with deletions in the long arm of chromosome 11 [del(11q)] also have a worse prognosis and bulky lymphadenopathy at presentation.
The poor prognosis seen with del(17p) and del (11q) are independent of the patient's stage at presentation. Patients with these abnormalities may benefit from treatment with the monoclonal antibody alemtuzumab. [22, 23, 24]
IgVH status has shown potential as a prognostic marker for CLLas well. ZAP-70 and CD38 expression tend to correlate with unmutated IgVH and a poorer prognosis; however, these associations are not absolute. Further clinical information is necessary to determine the role that testing for these markers should play in the management of chronic lymphocytic leukemia (chronic lymphoid leukemia, CLL).
None of the poor prognostic markers has been validated as an indication to initiate treatment in asymptomatic patients. [2]
MicroRNA analysis remains a research tool. miR-181b levels appear to decrease in blood samples of patients whose disease is progressive. [25]
Bone Marrow Aspiration and Biopsy
Bone marrow aspiration and biopsy with flow cytometry is not required in all cases of CLL, but it may be necessary in selected cases to establish the diagnosis and to assess other complicating features such as anemia and thrombocytopenia. For example, bone marrow examination may be necessary to distinguish between thrombocytopenia of peripheral destruction (in the spleen) and that due to marrow infiltration.
Consider a lymph node biopsy if lymph node(s) begin to enlarge rapidly in a patient with known CLL, to assess the possibility of transformation to a high-grade lymphoma. When such transformation is accompanied by fever, weight loss, and pain, it is termed Richter syndrome.
Staging
Two staging systems are in common use for CLL: the modified Rai staging in the United States and the Binet staging in Europe. Neither is completely satisfactory, and both have often been modified. Because of its historical precedent and wide use, the Rai-Sawitsky system is described first, followed by the Binet. See also Chronic Lymphocytic Leukemia Staging.
These CLL staging systems have been unable to provide information regarding disease progression due to its heterogeneity.
After successful treatment of immune cytopenias, CLL may be down-staged,
Rai-Sawitsky staging system
The original 5-stage Rai-Sawitsky staging system [26] was revised in 1987 to a simpler 3-stage system. The revised Rai staging system divides patients into low-, intermediate-, and high-risk groups, as follows:
-
Low risk (formerly stage 0) – Lymphocytosis in the blood and marrow only (25% of presenting population) [2]
-
Intermediate risk (formerly stages I and II) – Lymphocytosis with enlarged nodes in any site or splenomegaly or hepatomegaly (50% of presentation)
-
High risk (formerly stages III and IV) – Lymphocytosis with disease-related anemia (hemoglobin <11 g/dL) or thrombocytopenia (platelets <100 x 10 9/L) (25% of all patients)
Binet staging system
The Binet stages are as follows:
-
Stage A – Hemoglobin greater than or equal to 10 g/dL, platelets greater than or equal to 100 × 10 9/L, and fewer than 3 lymph node areas involved.
-
Stage B – Hemoglobin and platelet levels as in stage A and 3 or more lymph node areas involved
-
Stage C – Hemoglobin less than 10 g/dL or platelets less than 100 × 10 9/L, or both
-
Peripheral smear from a patient with chronic lymphocytic leukemia, small lymphocytic variety.
-
Peripheral smear from a patient with chronic lymphocytic leukemia, large lymphocytic variety. Smudge cells are also observed; smudge cells are the artifacts produced by the lymphocytes damaged during the slide preparation.
