Background
Rhabdomyosarcoma (RMS) is a malignancy that arises from embryonic mesenchymal cells and is the most common sarcoma in the pediatric population, accounting for 4.5% of all childhood malignancies. It was first described in the English literature in 1937. In 1946, Stout described rhabdomyosarcoma as a tumor with rhabdomyoblasts of round, strap, racquet, and spider forms. [1]
Before the evolution of multimodal treatment for malignancies and the development and recognition of effective chemotherapeutic agents, the primary therapy for pediatric RMS was surgical excision. Unfortunately, this purely surgical approach was often unsuccessful and, even when curative, often proved to be quite morbid.
Formal investigations of the treatment of pediatric rhabdomyosarcoma have subsequently been carried out through the Intergroup Rhabdomyosarcoma Study (IRS) Group (IRSG) and have consisted of five studies: IRS-I (1972-1978), IRS-II (1978-1984), IRS-III (984-1991), IRS-IV (1991-1997), and IRS V (1997-2003). [2, 3, 4, 5, 6, 7, 8] Studies have been initiated by the Soft Tissue Sarcoma Committee of the Children's Oncology Group, which attempts to improve outcome and decrease treatment-related morbidity. [9, 10]
Treatment of RMS, once purely surgical, is now multimodal, involving surgical resection, biopsy only, or surgical staging, combined with chemotherapy and radiation therapy, when necessary.
The prognosis of RMS depends on tumor location, patient age, metastasis, histology, tumor biology, and adequacy of tumor resection. Lymph node evaluation is essential in determining the extent of disease and guiding therapy. With adequate treatment, the 5-year survival rate is higher than 70-80%.
Anatomy
Although most frequently diagnosed in the head and neck or the genitourinary system, RMS may occur anywhere in the body. Embryonal histology is usually found in the head and neck, genitourinary tract, or orbit. Alveolar RMS (see Pathophysiology) is usually encountered in the extremities, trunk, or perineum. The botryoid variant arises in cavitary structures such as the vagina and bladder, and spindle cell RMS is found most commonly in the paratesticular area.
Pathophysiology
The pathogenesis of RMS is not well elucidated, though it is believed to involve disruption of mesenchymal cell growth.
Five variants of rhabdomyosarcoma are described in the international classification of RMS. [11] Most cases, however, fall into one of the two major subtypes: embryonal and alveolar. Treatment and prognosis are dependent on histologic subtype and tumor location.
The embryonal subtype is most common, accounting for 55% of all RMS. It is usually found in the head and neck, genitourinary tract, or orbit in younger patients. This subtype is characterized by a loss of heterozygosity at the 11p15.5 locus, the region of the IGFII gene. Anaplasia, which may be a feature of this subtype, adversely affects the likelihood of failure-free survival.
Embryonal RMS (ERMS) has also been subclassified into botryoid and spindle cell variants. The botryoid variant, named after its gross resemblance to a cluster of grapes, arises within a hollow cavitary viscus (eg, vagina, biliary tract, or bladder) and is found more frequently in infants. The spindle cell variant is found most commonly in the paratesticular area.
Alveolar RMS (ARMS) is often seen in older patients, accounting for 20% of all tumors in older children. It usually affects the extremities, trunk, and perineum.
Another, albeit much less common, subtype is undifferentiated RMS.
A translocation involving the PAX3 locus, between the long arm of chromosome 2 and the long arm of chromosome 13, has been identified in RMS patients. This involves the PAX3 and FKHR genes. The FOXO transcription factor gene can fuse with either the PAX3 or the PAX7 transcription factor gene. These fusion proteins have been identified in patients with ARMS. [12, 13]
In these PAX/FOXO fusions, the DNA binding domain of PAX is combined with the regulatory domain of FOXO. This results in increased PAX activity, leading to dedifferentiation and the proliferation of myogenic cells. [14] PAX3-FOXO fusion is more common than PAX7-FOXO fusion (55% vs 23%) and is associated with worse overall survival. [15]
It has been demonstrated that approximately 25% of ARMS tumors are translocation-negative. By gene array analysis, these fusion-negative ARMS tumors more closely resemble ERMS and have a prognosis similar to that of ERMS. [16] In future studies and treatment protocols, fusion status will replace tumor histology for the classification and stratification of RMS tumors.
For additional information, see Rhabdomyosarcoma.
Etiology
The etiology of pediatric RMS is unknown; however, RMS has been associated with a p53 mutation and Li-Fraumeni syndrome. [17] Li-Fraumeni syndrome is a familial cancer syndrome that exhibits autosomal-dominant inheritance of a germline mutation of the p53 gene. [18] It is characterized by a high incidence of soft-tissue or bone sarcomas, leukemia, brain or adrenal neoplasms, and maternal premenopausal breast cancer.
RMS is also known to occur more commonly in patients with neurofibromatosis type I (NF1) and in patients with Beckwith-Wiedemann syndrome. Tumors associated with syndromes typically present earlier and have family histories of malignancy. [19]
Epidemiology
RMS is the most common soft-tissue sarcoma in children and accounts for 50% of pediatric soft-tissue sarcomas and 4.5% of all childhood cancers. This malignancy has a bimodal distribution, with peaks at 2-6 years of age and 10-18 years of age. [19] Approximately 250 new cases of pediatric RMS are diagnosed in the United States each year.
Prognosis
With appropriate risk-adjusted treatment, the overall 5-year survival rate is in excess of 70%. The use of multimodal therapy and the long-term investigations by the IRSG have led to steady improvement in the prognosis for pediatric patients with RMS. IRS-IV revealed that the failure-free survival rate and overall 3-year survival rate are 77% and 86%, respectively, in patients without metastatic disease. In children with metastatic disease, despite current treatment, 5-year survival remains at approximately 30%.
Current emphasis is on stratification of therapy to provide local control with less impairment in functionality or cosmetics.
-
Proper orientation of the biopsy allows complete resection at second operation.
-
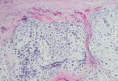
The histologic findings in rhabdomyosarcoma.
-
Sentinel node biopsy after lymphatic mapping in a child with rhabdomyosarcoma. Notice that the incision is oriented to allow extension or incorporation of the incision should further dissection be necessary. The sentinel node should be blue and should have high counts of radioactive tracer signal when checked with the gamma probe.
