Background
Trichoepithelioma is a benign adnexal neoplasm. Cases associated with Brooke-Spiegler syndrome are caused by mutations of the cylindromatosis oncogene (CYLD), which maps to 16q12-q13. [1, 2, 3] A 2006 study has suggested that abnormalities in this gene may result in one of 3 syndromes: Brooke-Spiegler syndrome, familial cylindromatosis, and multiple familial trichoepithelioma. [4] Furthermore, some cases of patients with multiple trichoepitheliomas appear to be sporadic and not related with familial incidence. [5]
A 2009 study reports a novel missense mutation in the CYLD gene, heterozygous nucleotide G-->A transition at position 2,317 in exon 17, in a Chinese family with multiple familial trichoepithelioma. [6] Additionally, a novel splicing mutation in the CYLD gene (IVS12 + 1 G-->A) has been reported in a Taiwanese family with multiple familial trichoepithelioma. [7]
Pathophysiology
Studies have indicated that CYLD encodes a deubiquitinating enzyme that negatively regulates the nuclear factor (NF)–kappaB and c-Jun N-terminal kinase (JNK) pathways. [8] Due to the presence of significant numbers of Merkel cells within the tumor nest and the detection of a sheath of CD34-positive dendrocytes around the tumor nests, it appears that trichoepithelioma differentiates toward or derives from hair structures, particularly the hair bulge. Rare instances of tumors resembling trichoepithelioma have been reported in animals. [9]
Etiology
The gene involved in basal cell carcinoma (PTCH, human patched gene located on band 9q22.3) appears to participate in the pathogenesis of trichoepithelioma. [10]
Brooke-Spiegler syndrome patients have a high incidence of multiple skin appendage tumors such as cylindroma, trichoepithelioma, and spiradenoma. These patients may show mutations of the CYLD gene (cylindromatosis gene) that map to 16q12-q13. [11]
Epidemiology
US frequency
One dermatopathology laboratory reported 2.14 and 2.75 cases of trichoepithelioma per year (9000 specimens).
Sex
Since trichoepithelioma is inherited in an autosomal dominant fashion, males and females receive the gene equally, but because of lessened expressivity and penetrance in men, most patients are women.
Age
Trichoepithelioma typically occurs in young to aging adults; however, the hereditary form may be seen in younger individuals. A single case study has reported a congenital lesion of desmoplastic trichoepithelioma. [12]
Prognosis
Slow growth is characteristic of trichoepithelioma. Partial removal may result in persistence or recurrence. Although rare, trichoepitheliomas can develop high-grade carcinomas and mixed (epithelial/sarcomatous) tumors. [13, 14] Familial trichoepithelioma has shown an aggressive, recurrent behavior in rare cases.
In cases of multiple trichoepitheliomas, the lesions may cause disfigurement because of involvement of the face. The rare cases of trichoepithelioma described as having aggressive behavior (ie, ulceration, recurrence) are probably follicular tumors within the basal cell nevus syndrome and not trichoepithelioma.
Patient Education
Inform the patient that some degree of scarring will be present after trichoepithelioma treatment.
-
Characteristic clinical morphologic features. Notice the numerous, small papules, predominantly close to the midline.
-
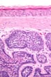
Well-circumscribed, superficial lesion composed of clusters of basaloid cells within a fibrous stroma. This arrangement of epithelial cells and stroma is described as organoid.
-
The cystic spaces contain keratin. Notice the lack of mitotic figures or apoptotic bodies.
-
Papillary-mesenchymal bodies are structures associated with hair follicle differentiation. They are characterized by an aggregate of spindle, stromal cells, closely apposed to a hair bulb (arrow; darkly staining, basaloid epithelial cells).
-
Because trichoepitheliomas recapitulate follicular differentiation, they may contain cells commonly seen in hair follicles such as melanocytes. This image illustrates both melanocytes (black arrow) and dermal melanophages (white arrow).
-
Immunohistochemical studies detect expression of CD34 by many of the dendritic cells that surround the tumor aggregates (anti-CD34, diaminobenzidine, and hematoxylin).
-
Desmoplastic variant. Notice that many of the aggregates of basaloid cells are small, resembling a syringoma; however, they contain keratin instead of eccrine secretion. Also notice the characteristic markedly fibrous stroma.
-
High-powered view of desmoplastic trichoepithelioma. Notice the cluster of squamous cells surrounding a small cystic area containing keratin. Intervening stroma is markedly fibrous.
-
The malignant counterpart, trichilemmal carcinoma, typically shows areas with infiltrative growth and necrosis.
-
Trichilemmal carcinoma cells have large, lightly stained cytoplasm with large, pleomorphic nuclei. As a sign of follicular differentiation, some cells may display the characteristic cytoplasmic, red, trichohyalin granules (arrows).
