Medical Care
Although the prognosis of glioblastoma multiforme (GBM) is uniformly poor, treating patients in an attempt to improve the quality of life is worthwhile. The current standard of care includes maximal safe surgical resection, followed by a combination of radiation and chemotherapy with temozolomide. However, continuous supportive care is a major component of the medical treatment of primary brain tumors.
This care includes treatment of cerebral edema with a potent glucocorticosteroid. Dexamethasone is most commonly used because of its potent impact on edema and minimal mineralocorticoid effects. Steroid therapy often requires prophylactic use of H-2 blockers to prevent gastrointestinal side effects.
Seizures are a major concern with supratentorial tumors. Although seizures are less common with GBM than low-grade glioma, treatment with an appropriate anticonvulsant is uniformly recommended for a documented seizure. However, the use of a prophylactic anticonvulsant is controversial. A 2009 prospective study strongly concluded that the use of prophylactic AEDs in glioma is not justified, as patients without epilepsy and not taking AEDs never developed seizures. [27] Careful consideration is required in selecting an effective AED with minimal side effects and without cytochrome P450 enhancing activity because enzyme inducers can increase the metabolism and clearance of some chemotherapeutic agents.
Thromboembolic disease is also a major concern for patients with primary brain tumors. Although the incidence of thromboembolic disease has been reported to be as high as 35–40% during the course of the GBM, prophylactic use of anticoagulation has not been recommended because of the increased risk of intracranial hemorrhage. [28]
Besides the symptoms of seizures, headache, and mental status changes, many patients have neurologic deficits and require physical, occupational, and speech therapy. Frequently, patients require emotional and psychological support and benefit from help provided by support groups, local workers, psychiatrists, and organizations such as Brain Tumor Society or National Brain Tumor Foundation.
Surgical Care
In glioblastoma multiforme (GBM), surgery is always an incomplete debulking, since it is a highly infiltrating tumor and cannot be resected completely. The extent of surgical resection depends on the location and eloquence of the brain areas. However, a trial using 5-aminolevulinic acid showed a significantly higher rate of complete resection (65% gross total resection) of enhancing tumor on postoperative MRI performed within 72 hours of surgery versus 35% in the conventional surgery arm. Further analysis of the data has demonstrated that patients who underwent gross total resection, regardless of the treatment arm, had superior survival to those who received subtotal resection. [29, 30]
Radiation therapy
After surgery, a combination of radiation therapy (RT) with temozolomide followed by adjuvant temozolomide therapy remains the most effective adjuvant therapy for the treatment of patients with high-grade astrocytoma/GBM. A phase 3 clinical trial organized by the European Organization for Research and Treatment of Cancer and the National Cancer Institute of Canada showed a modest improvement of overall survival of 14.6 months compared with 12 months in the RT arm. [12] The standard of care for RT in GBM is focal, fractionated external beam RT. New techniques and technologies continue to be evaluated, but none has clearly shown to be superior to standard external beam radiation therapy (EBRT). Different methods of administering radiation therapy are available.
External beam radiation therapy (EBRT)
The standard dose of external beam radiotherapy is 60 Gy in single daily fractions of 1.7–2 Gy, 5 times a week. This is applied to a limited field that includes the enhancing volume on CT scans with a 2-3 cm margin or a 1–2 cm margin beyond T2-weighted MR images. [31]
Approximately 50% of AAs and 25% of GBMs decrease in size following radiotherapy. This response usually occurs by the end of treatment.
Stereotactic brachytherapy
In patients who have recurrence after conventional radiotherapy, repeat resection of the tumor and brachytherapy may be indicated. Excellent candidates are patients with unifocal, well-defined, supratentorial tumors less than 5 cm in diameter that does not involve the corpus callosum, brain stem, or ependymal surfaces.
Brachytherapy involves using stereotactic techniques to accurately place catheters containing radioactive isotopes within brain tumors, without tumoricidal effect to normal brain tissues.
Typically, brachytherapy delivers an additional 50-60 Gy of radiation, bringing the total dose of radiation up to 110–120 Gy.
Brachytherapy involves a surgical procedure to place the radiation source, which is further difficult in tumors of critical locations. So, only ~25% of patients were candidates for this procedure and hence brachytherapy fell out of favor. [32]
Stereotactic radiosurgery
Stereotactic radiosurgery is a technique used to treat small (< 4 cm), radiographically well-defined lesions with a single high-dose fraction of ionizing radiation in stereotactically directed narrow beams.
Radiosurgery has the advantage over brachytherapy in being noninvasive, allowing treatment of patients with tumors in surgically inaccessible or eloquent areas of the brain or serious coexisting medical illnesses.
Initial retrospective studies of radiosurgical boost to conventional RT were promising. However, an RCT revealed no difference in survival with RTOG 9305. Hence there is no role of stereotactic radiosurgery in primary GBM. [33]
In recurrent GBM, though there are reports of advantages of stereotactic radiosurgery, there is no level I evidence to support this, and many of these studies report a high rate of radiation necrosis. An ongoing RCT is evaluating the use of stereotactic radiosurgery in recurrent GBM. [32]
Boron neutron capture therapy (BNCT)
This modality of treatment is still investigational, not widely available, and costly. The value still is not proven.
An earlier study of intra-operative BNCT (IO-BNCT) by Hatanaka showed unsatisfactory results in patients with tumors located deeper than 4 cm from the brain surface. [34] Later, non-operative BNCT (NO-BNCT) using epithermal neutron beam and advanced dose planning system also did not show any improvement in the long-term survival of these patients. [35]
BNCT for newly diagnosed or recurrent high-grade gliomas is still being evaluated.
Chemotherapy
Chemotherapy probably has a modest but significant effect in prolonging survival when administered with concurrent radiation therapy after surgery.
Current recommendations in patients age < 70 years with good Karnofsky Performance Scale (KPS) score include maximal safe surgical resection followed by concurrent radiation and chemotherapy with temozolomide, followed by adjuvant chemotherapy with temozolomide.
A phase III randomized trial combining low-dose chemotherapy using the oral alkylating agent temozolomide concurrently with radiation, followed by an additional 6 months of adjuvant temozolomide showed statistically significant survival benefit over radiation alone. The median survival was 14.6 months with radiation therapy plus temozolomide and 12.1 months with radiation therapy alone. The treatment was well tolerated with minimal additional toxicity. [12]
Another phase III randomized trial that included 240 patients compared surgery with implantation of polymer wafers with BCNU (Gliadel wafers) into the tumor bed demonstrated a significant prolongation of survival compared with a placebo wafer. Both groups received radiation therapy. The median survival was 13.9 months in the group treated with Gliadel wafers and 11.6 months in the group treated with a placebo. [36]
A safety and efficacy study by Darakchiev et al, using adjunct combination therapy with BCNU wafers and permanent iodine-125 seeds, resulted in favorable survival in patients with recurrent GBM. The median survival was 69 weeks, and the median progression-free survival was 47 weeks. The incidence of brain necrosis appeared to be higher than with either therapy alone. However, the necrosis was manageable with surgery or hyperbaric oxygen therapy and did not affect the survival. [37]
Stupp et al reported the results of the randomized phase III trial for patients with glioblastoma who were treated with adjuvant temozolomide and radiation with a median follow-up of more than 5 years. Stupp et al previously reported improved median and 2-year survival when temozolomide was added to radiation therapy in glioblastoma. [12] Survival in the combined therapy group (ie, temozolomide and radiation) continued to exceed that of radiation alone throughout the 5-year follow-up (p < 0.0001). Survival of patients who received adjuvant temozolomide with radiotherapy for glioblastoma is superior to radiotherapy alone across all clinical prognostic subgroups.
A post hoc analysis in a subset of patients in a phase III trial, patients whose tumors had methylation of the promoter region of the methylguanine methyltransferase (MGMT) gene survived longer and derived greater benefit from the addition of temozolomide therapy to RT than those whose tumors were not methylated. [20]
For tumor recurrence, various conventional chemotherapeutic agents, including nitrosoureas, BCNU, and CCNU, and chemotherapies such as cisplatin, carboplatin, etoposide, are used. Selected patients may benefit from tumor resection. Patients with recurrent GBM are encouraged to participate in approved clinical trials to develop effective regimens [6] .
A phase II trial of continuous dose-intense temozolomide in recurrent malignant glioma (RESCUE study) concluded that for patients with recurrent GBM, rechallenging with 50 mg/m2/d continuous dose-intense temozolomide is a valuable option. Patients with recurrence after a treatment-free interval or patients experiencing progression during the first 6 cycles of conventional adjuvant temozolomide therapy benefit the most [38] .
After the initial definitive treatment (surgical debulking) of glioblastoma multiforme (GBM), the patient may need further inpatient care during the ongoing radiation therapy. Chemotherapy usually is performed on an outpatient basis. Continuing outpatient follow-up care is necessary if the patient develops neurological deterioration such as acute motor weakness or depression of consciousness from the effects of therapy, increased intracranial pressure from vasogenic edema, or acute hydrocephalus from ventricular obstruction. Appropriate intervention depends on the nature of the problem (eg, steroid therapy for edema, shunting for hydrocephalus).
Other treatment options
Extensive research is taking place on newer therapeutic options like laser interstitial thermal therapy (LITT), tumor treating fields (TTF), immunotherapy, immune checkpoint inhibitors, T-cell therapy, viral therapy, vaccine therapy, and so on. [39] These options are beyond the scope of this section. Interested readers are encouraged to read standard neuro-oncological textbooks, journals, and other sources (see References).
Consultations
Treatment of GBM is largely a multispecialty team approach. Therefore, neurology, neurosurgery, neuro-oncology, radiation oncology, psychiatry, and social service consultations should be obtained.
-
T1-weighted axial gadolinium-enhanced MRI demonstrates an enhancing tumor of the right frontal lobe. Image courtesy of George Jallo, MD.
-
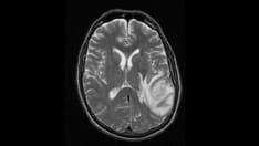
T2-weighted image demonstrates notable edema and midline shift. This finding is consistent with a high grade or malignant tumor. Image courtesy of George Jallo, MD.
-
Histopathologic slide demonstrating a glioblastoma multiforme.
-
Magnetic resonance spectroscopy is representative of a glioblastoma multiforme.
