Background
Taeniasis and cysticercosis remain a global public health problem in both the developing and developed countries. Infection is becoming increasingly common in the latter because of the increasing immigration and more frequent travel to regions of endemic disease. These parasitic diseases are related to poverty and poor sanitary infrastructure. Therefore, cysticercosis has been designated as a biological marker of the social and economic development of a community.
Neurocysticercosis (NC) commonly is associated with clinical manifestations such as seizures, headache, and focal neurological deficits, and may lead to long-term neurological sequelae such as epilepsy, hydrocephalus, and dementia. The pleomorphism of NC makes its diagnosis impossible on clinical grounds alone. An accurate diagnosis is possible only after suspicion on epidemiologic grounds, proper interpretation of clinical data, and synthesis of findings on neuroimaging studies specific immunologic tests on the cerebrospinal fluid (CSF). [1, 2, 3]
Biology
Humans are the only known host to harbor the adult cestode parasite, Taenia solium, in the intestine. Infection is acquired by ingesting undercooked pork infected with Taenia larvae (ie, cysticerci). The cysticerci evaginate into the intestines where they mature into adult worms. The worms consist of a scolex, which attaches itself to the intestinal wall, and numerous proglottids (ie, segments). Proglottids and eggs are shed intermittently into the stool.
The intermediate host, typically the pig, is infected by ingesting parasite eggs or proglottids containing eggs (ie, porcine cysticercosis). The oncospheres escape from the eggs, penetrate the intestinal mucosa, migrate through the bloodstream, and lodge in the tissues. Over weeks to months, they evolve into larvae that enlarge and mature into cysticerci. The life cycle is completed when humans ingest pork contaminated with the cysts.
Human cysticercosis is acquired after eating food contaminated with fertilized eggs excreted in the feces of Taenia carriers. In humans, the most common routes of infection are ingestion of T solium eggs from contaminated food and rarely from fecal-oral autoinfestation from patients harboring the adult parasite in their intestines. While the cysts can develop in any human tissue, they have a predilection for the central nervous system (CNS), skeletal muscle, subcutaneous tissue, and eyes.
Immune response
In humans and pigs, the cysticerci may live within the host tissue without causing inflammation or disease. The immune response is unpredictable and may vary from a complete tolerance to an intense immune response. A single patient may show an intense inflammation around a cyst at any stage of the degeneration process, together with viable cysts with lack of inflammation and several calcifications scattered in the brain. Autopsies of victims of warfare and road/traffic accidents have revealed that a large proportion of NC infection is asymptomatic and discovered incidentally at necropsy. Individuals who undergo computed tomography (CT) of the head for unrelated reasons (eg, head injury) may demonstrate multiple parenchymal calcifications.
Several studies have analyzed the mechanisms of the immune response elicited against T solium cysticercus, such as the heterogeneity of the humoral immune response, the existence of immune evasive mechanisms, and the fact that the immune response can both protect and harm the host.
The humoral immune response to antigens of T solium cysticerci is evident from the number of immunodiagnostic assays that have been developed using different types of antigens. Several immunoglobulin (Ig) classes are produced as specific antibodies against the parasite. The most frequent is immunoglobulin G (IgG), which can be detected in serum, CSF, and saliva and suggests that infection is of long duration. The immune response against T solium cysticerci appears to have components of both T helper type 1 cells (Th1) and T helper type 2 cells (Th2), although the underlying mechanisms are yet to be clarified. The parasite is probably killed by eosinophils, which are attracted to the site by lymphoid cells. It is assumed that this specific response is mediated by Th2 cytokines.
Pathophysiology
The natural history of cysticerci in the CNS is not entirely understood. CT scan and magnetic resonance imaging (MRI) have been useful in the study of the evolution of the cysticercus within the brain parenchyma. MRI is more useful than CT scan in detecting intraventricular and subarachnoidal cysts, as well as the accompanying signs of cyst degeneration and pericystic inflammatory reaction. However, CT scan is preferred for detection of parenchymal calcifications. [4]
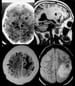
Once the oncosphere has passed into the parenchyma, it grows and evolves through vesicular, colloidal, nodular-granular, and calcified phases. In the vesicular phase, the host tends to show immune tolerance, and, in most cases, no surrounding parenchymal reaction occurs. The larva lives inside a translucent liquid-filled cystic structure surrounded by a thin membrane, where it can remain viable from a few months to several years. When the larva is viable, the CT scan depicts circumscribed, rounded, hypodense areas, varying in size and number, without enhancement by contrast medium (see the images below). The average size of the cysts is 10 mm in diameter, but they range from 4-20 mm.
Neuroimaging in neurocysticercosis. CT scans showing different phases of neurocysticercosis. Top left: CT scan showing many calcifications and active cysts with scolices in both hemispheres. Top right: T1-weighted MRI showing 2 active cysts with the scolex in their interior (vesicular phase). Bottom left: Postcontrast CT scan showing a ring-enhancing cyst (colloidal phase) on left. Bottom right: Proton density-weighted MRI showing a thick capsule with adjacent scolex and perilesional edema (colloidal phase).
Neuroimaging in neurocysticercosis. Natural history of neurocysticercosis. Top left: This CT scan shows a large occipital active cyst (vesicle phase), many calcifications, and small cortical cysts. Top right: After 18 months, the occipital cyst has been replaced by a calcification and the remaining cysts have disappeared. Bottom left: A single parietal nodular-enhancing lesion (transitional, nodular-granular phase) is shown. Bottom right: Six months later, the lesion has disappeared.
On MRI, the vesicular larva appears as CSF-like intensity signal on all sequences (as shown in the first image above), with no surrounding high signal on T2-weighted images. Both MRI and CT scan may show a high intensity, 2-4 mm mural nodule, depicting the scolex in the interior of some parenchymal vesicular cysts (as shown in the first image above). This picture could be considered pathognomonic of cysticercosis, and it corresponds to the active parenchymal form of NC. Two phases of pathologic changes take place when the host-immune system reacts to the parasite.
Colloidal phase
In this phase, the parasite begins to show degenerative changes, the vesicular fluid takes on a gelatinous colloidal aspect, and the wall thickens. The contrast-enhanced CT scan shows an annular enhancement surrounded by irregular perilesional edema. On MRI, the capsule shows higher signal than the adjacent brain with thick-ring enhancement on T1-weighted images, while on T2-weighted images a low-ring signal surrounded by high signal lesion is seen (see the images below).
Neuroimaging in neurocysticercosis. CT scans showing different phases of neurocysticercosis. Top left: CT scan showing many calcifications and active cysts with scolices in both hemispheres. Top right: T1-weighted MRI showing 2 active cysts with the scolex in their interior (vesicular phase). Bottom left: Postcontrast CT scan showing a ring-enhancing cyst (colloidal phase) on left. Bottom right: Proton density-weighted MRI showing a thick capsule with adjacent scolex and perilesional edema (colloidal phase).
Neuroimaging in neurocysticercosis. Natural history of neurocysticercosis. Top left: This CT scan shows a large occipital active cyst (vesicle phase), many calcifications, and small cortical cysts. Top right: After 18 months, the occipital cyst has been replaced by a calcification and the remaining cysts have disappeared. Bottom left: A single parietal nodular-enhancing lesion (transitional, nodular-granular phase) is shown. Bottom right: Six months later, the lesion has disappeared.
Nodular-granular phase
In this phase, the vesicle tends to shrink, and its contents become semisolid, being progressively replaced by granulomatous tissue. These findings could correspond to a diffuse hypodense area with irregular borders on noncontrast CT scan. Following administration of contrast medium, a small, hyperdense, rounded, nodular image surrounded by edema is observed (see the images below). In this stage, T2-weighted images depict the most striking picture of these lesions, as they show a change in the signal from the cyst fluid.
Neuroimaging in neurocysticercosis. Natural history of neurocysticercosis. Top left: This CT scan shows a large occipital active cyst (vesicle phase), many calcifications, and small cortical cysts. Top right: After 18 months, the occipital cyst has been replaced by a calcification and the remaining cysts have disappeared. Bottom left: A single parietal nodular-enhancing lesion (transitional, nodular-granular phase) is shown. Bottom right: Six months later, the lesion has disappeared.
Neuroimaging in neurocysticercosis. Noncontrast and contrast-enhanced CT scan of neurocysticercosis. Left: Normal noncontrast CT scan. Right: After administration of the contrast medium, the CT scan of the same patient shows a single parietal nodular-enhancing lesion (transitional, nodular phase).
These 2 consecutive phases correspond to an intermediate stage named transitional form, inasmuch as the cysticercus has entered into a degenerative process. Although these pathologic changes generally are associated with symptoms (eg, seizures, headaches), some patients with these changes remain asymptomatic. The cysts in the transitional phase may be single or multiple. If multiple, and coexisting with other cysts in the vesicular phase and disseminated calcified nodules in the cerebral parenchyma, the most likely diagnosis is NC. However, when only one cyst is seen in the transitional phase, it corresponds to the so-called "single enhancing lesion on CT" (SECTL), signifying a special syndrome.
When the parasite dies, a mineralization and resorption process occurs that ends in a calcified nodule that lodges permanently in the CNS. Noncontrast CT scan shows a rounded, homogeneous hyperdense area showing no enhancement with contrast medium. This phase corresponds to the inactive parenchymal form of NC.
The parasite in the active stage may remain viable from a few months to several years. The transitional stage may last about 3-12 months or longer, usually 4-6 months. Finally, the dead parasite is reabsorbed, or it calcifies and lodges permanently in the CNS.
A NC form with different clinical and radiologic characteristics from those already described is termed "cysticercotic encephalitis." It occurs primarily in children and young women. The noncontrast CT image shows diffuse and intense cerebral edema and small or collapsed ventricles. Contrast-enhanced images show multiple, small, hyperdense, nodular or annular images disseminated throughout the whole cerebral parenchyma (see the image below).
Neuroimaging in neurocysticercosis. Cysticercotic encephalitis. Left: Contrast-enhanced CT scan showing multiple, small, nodular, and annular areas of abnormal enhancement in brain parenchyma. Right: Gadolinium-enhanced T1-weighted MRI showing hyperintense lesions.
When the parasites are located in the subarachnoidal space or inside the ventricular system, the clinical course also varies from the typical presentation. Being immersed in a CSF-rich environment, the cysticerci evolve into the racemose form of NC.
Racemose form
The racemose form constitutes a hydropic change that leads to large or even giant vesicles usually devoid of a scolex. These racemose cysts show a rapid process of hyalinization of the cyst wall. They are located most frequently either in the basal cisterns or inside the sylvian valley, and they can be as large as 100 mm in diameter. Noncontrast CT scans depict hypodense images in the subarachnoid or ventricular space. The cysts deform the surrounding structures, and a noncommunicating hydrocephalus occurs.
MRI shows the cyst more precisely as a hypointense CSF-like image in all the phases (proton or T2 weighted). It permits direct visualization of the intraventricular cysticerci by identifying the cyst wall, scolex, or both. The ventricular ependymal lining reacts to the cysts and an inflammatory reaction or ependymitis occurs, which can be visualized on CT scan or MRI as a high-intensity signal in the ependymal layer. When the parasite is located in the subarachnoid space, it can cause a meningeal inflammatory process, with pleocytosis and increased protein in the CSF. The parasite degenerates to a hyaline mass and remains trapped inside the gummatous thickening of the leptomeninges. As a sequel to the chronic intense inflammatory process, fibrosis and thickening of the leptomeninges also may lead to chronic hydrocephalus. Vasculitis with secondary ischemic lesions may be noted.
Classification of NC
Carpio proposed an improved and widely accepted classification system based on the viability and location of the parasite in the host CNS.
-
Active, when the parasite is alive
-
Transitional, if it is in the degenerative phase
-
Inactive, if evidence of its death is apparent
Each viability category is subdivided into parenchymal and extraparenchymal forms. On the basis of this classification, relating clinical manifestations to each category of the proposed classification is possible. No definitive data exist regarding the duration of individual stages. Anecdotal evidence indicates that, once the parasite lodges in the brain, it may remain viable from months to years. The transitional phase lasts 4-6 months. Finally, the dead parasite is resorbed or it calcifies and lodges permanently in the CNS.
Epidemiology
Frequency
United States
Traditionally neurocysticercosis (NC) has been considered an exotic disease in the United States. This infection now accounts for as many as 2% of neurologic and neurosurgical admissions in southern California. More than 1000 cases are reported per year in the United States. Persons who have never left the United States are at risk as well as visitors to disease-endemic regions. An outbreak of cysticercosis among orthodox Jews living in New York City was reported after food was contaminated with T solium eggs by immigrant cooks infected with the pork tapeworm. The Centers for Disease Control and Prevention (CDC) considers NC an emerging infection, and they are developing programs to track and hopefully eradicate the condition.
International
NC is the most common neurological infection in the world. NC is endemic in much of the developing world. Most publications on the frequency of NC are based either on autopsy or biopsy materials or on data culled from neurologic settings and general hospitals. These data are hardly representative of the general population.
T solium is endemic in Latin America, India, and China, and it also may be endemic in sub-Saharan Africa. In countries where the disease is endemic, NC is also widely prevalent in the urban middle class areas.
Epidemiological surveys for human cysticercosis, using immunoserologic assays, such as the enzyme-linked immunoelectrotransfer blot assay (EITB) or the enzyme-linked immunosorbent assay (ELISA) have been explored. These assays are useful for identification of individuals who have had systemic contact with the parasite at some time. However, seropositivity does not necessarily mean an active systemic infection or CNS involvement at any time.
EITB assays report a seroprevalence from 8-12% in some regions of Latin America. Most seropositive individuals in these populations are asymptomatic. No prospective studies provide information on the proportion of seropositive individuals that will develop seizures or other neurological symptoms. Some studies, but not all, have reported an association between seizures and seropositivity. Although a higher proportion of patients with epilepsy have been shown to be EITB positive when compared to those without epilepsy, the proportion of seropositivity in epileptic patients is similar to that reported in the general population in these same areas.
Recent epidemiological studies have shown that persons engaged in household contacts with patients with NC had a risk of positive serology for cysticercosis that was 3 times higher than the general population. While these findings are still consistent with a common environmental source of infection with T solium eggs, they also suggest a potential for direct human-to-human contamination.
Mortality/Morbidity
No reliable information is available regarding mortality rates. This is probably because a large percentage of patients (perhaps as many as 50%) with NC are asymptomatic. Most patients with parenchymal NC have a benign clinical cause. However, patients with subarachnoidal cysticercosis (approximately 10-15%, including intraventricular cysts) may develop complications such as vasculitis and hydrocephalus.
-
Permanent neurological deficits may result secondary to infarction in the case of vasculitis, and high mortality rates or severe clinical morbidity such as dementia may result from hydrocephalus.
-
Hydrocephalus has been reported as a complication (8%) of treatment of NC with albendazole or praziquantel.
-
Anecdotal reports have circulated concerning patients with intraventricular cysts who experienced sudden death due to acute obstruction of the intraventricular system, particularly the aqueduct of Sylvius.
Sex
Men and women are affected similarly. However, cysticercotic encephalitis, one of the most severe forms of NC, is seen more frequently in young women than in men.
Age
NC has been reported in all age groups. The most frequent presentation occurs in the third and fourth decades of life.
Reports of cysticercosis are very unlikely in children younger than 2 years of age because of the prolonged incubation period of T solium. Most often, the disease is recognized in children older than 7, due to this incubation period.
The clinical course of NC in children is usually benign and self-limited and the prognosis good.
Prognosis
Prognosis is excellent in almost all cases of neurocysticercosis (NC). Many investigators affirm that most patients with NC with seizures or epilepsy have a good prognosis. Conversely, in patients with extraparenchymal forms, the prognosis is unfavorable, especially in those patients with hydrocephalus due to arachnoiditis.
Prospective cohort studies determined the risk of seizure recurrence after a first seizure due to NC and evaluated risk factors for seizure recurrence, including the influence of antihelminthic treatment.
-
Seventy-seven patients were prospectively followed for over 7 years. Thirty-one patients (40.3%) experienced seizure recurrence.
-
Kaplan-Meier estimated recurrence to be 22% at 6 months, 32% at 12 months, 39% at 24 months, and 49% at 48 and 84 months. Treatment with albendazole did not influence recurrence. No significant differences in the Kaplan-Meier curves of recurrence were present when treatment groups were compared (see the image below).
-
The authors concluded that seizure recurrence is high following a first acute symptomatic seizure due to NC, but this risk seems related to persistence of active brain lesions. Recurrence risk is low and in keeping with seizure risk following other brain insults leading to a static encephalopathy in those in whom the neurocysticercosis lesion clears.
Patient Education
Education, especially in developing countries, should include the following:
-
Teaching self-diagnosis of taeniasis/cysticercosis; promotion of preventive measures through proper feeding habits
-
Encouragement of general hygiene education
-
Disclosure of relevant information to schools and universities
-
Use of mass media in education
Veterinary educational activities should include the following:
-
Advise on farm hygiene and on the importance of meat inspection
-
Development of special educational programs for farmers and workers in the meat industry
Ecological and environmental measures include the following:
-
Improvement of sanitation throughout the country, particularly elimination of open-air defecation by farm workers and peasants
-
Improvement of sewage systems
-
Improvement of methods of animal husbandry
-
Neuroimaging in neurocysticercosis. CT scans showing different phases of neurocysticercosis. Top left: CT scan showing many calcifications and active cysts with scolices in both hemispheres. Top right: T1-weighted MRI showing 2 active cysts with the scolex in their interior (vesicular phase). Bottom left: Postcontrast CT scan showing a ring-enhancing cyst (colloidal phase) on left. Bottom right: Proton density-weighted MRI showing a thick capsule with adjacent scolex and perilesional edema (colloidal phase).
-
Neuroimaging in neurocysticercosis. Natural history of neurocysticercosis. Top left: This CT scan shows a large occipital active cyst (vesicle phase), many calcifications, and small cortical cysts. Top right: After 18 months, the occipital cyst has been replaced by a calcification and the remaining cysts have disappeared. Bottom left: A single parietal nodular-enhancing lesion (transitional, nodular-granular phase) is shown. Bottom right: Six months later, the lesion has disappeared.
-
Neuroimaging in neurocysticercosis. Noncontrast and contrast-enhanced CT scan of neurocysticercosis. Left: Normal noncontrast CT scan. Right: After administration of the contrast medium, the CT scan of the same patient shows a single parietal nodular-enhancing lesion (transitional, nodular phase).
-
Neuroimaging in neurocysticercosis. Cysticercotic encephalitis. Left: Contrast-enhanced CT scan showing multiple, small, nodular, and annular areas of abnormal enhancement in brain parenchyma. Right: Gadolinium-enhanced T1-weighted MRI showing hyperintense lesions.
-
Neuroimaging in neurocysticercosis. Cysticercus cellulosae in neurocysticercosis.
-
Treatment of Neurocysticercosis
-
Neuroimaging in neurocysticercosis. Cysticercus cellulosae showing the invaginated scolex in neurocysticercosis.
-
Neuroimaging in neurocysticercosis. Subcortical parenchymatous cysticercosis
-
Neuroimaging in neurocysticercosis. Inflammatory reaction in parenchymatous cysticercosis.
-
Neuroimaging in neurocysticercosis. Antiepileptic treatment for patients with first seizure due to neurocysticercosis.
-
Neuroimaging in neurocysticercosis. Probability of seizure recurrence (Kaplan-Meier curve) after a first seizure in patients with NC as function of cysticidal treatment.

