Practice Essentials
Ovarian torsion (adnexal torsion) is an infrequent but significant cause of acute lower abdominal pain in women. This condition is usually associated with reduced venous return from the ovary as a result of stromal edema, internal hemorrhage, hyperstimulation, or a mass. The ovary and fallopian tube are typically involved. The clinical presentation is often nonspecific with few distinctive physical findings, commonly resulting in delay in diagnosis and surgical management. A quick and confident diagnosis is required to save the adnexal structures from infarction. [1, 2, 3, 4]
Ovarian torsion involves torsion of the ovarian tissue on its pedicle leading to reduced venous return, stromal edema, internal hemorrhage, and infarction with the subsequent sequelae. Ovarian torsion classically occurs unilaterally in a pathologically enlarged ovary. Torsion of a normal ovary is most common in young children. [5, 6]
Pregnancy is associated with, and may be responsible for, torsion in approximately 20% of adnexal torsion cases. [7] Ovarian tumors, both benign and malignant, are implicated in 50-60% of cases of torsion. Approximately 17% of cases have been found to occur in premenarchal or postmenopausal women. [8]
Classically, patients present with the sudden onset (commonly during exercise or other agitating movement) of severe, unilateral lower abdominal pain that worsens intermittently over many hours. Approximately 25% of patients experience bilateral lower quadrant pain described as sharp and stabbing or, less frequently, crampy. Nausea and vomiting occur in approximately 70% of patients.
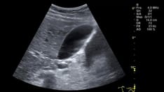
Ultrasonography with color Doppler analysis is the method of choice for the evaluation of adnexal torsion because it can show morphologic and physiologic changes in the ovary and can help determine whether blood flow is impaired. [9, 10, 11]
Patients need to keep in mind that seeking care immediately is important to allow for timely diagnosis and management. [12] In a patient with a history and physical examination findings suggestive of ovarian torsion, gynecologic consultation and subsequent laparoscopy are critical. [13, 14, 15]
Complications of ovarian torsion include infection, peritonitis, sepsis, adhesions, chronic pain, and infertility (rare).
Pathophysiology
The ovary has a dual blood supply from ovarian arteries and uterine arteries. Twisting of these ligaments can lead to venous congestion, edema, compression of arteries, and, eventually, loss of blood supply to the ovary. This can cause a constellation of symptoms, including severe pain when blood supply is compromised. This is a true surgical emergency that can lead to necrosis, loss of ovary, and infertility if not identified promptly. [12]
Ovarian torsion involves torsion of the ovarian tissue on its pedicle leading to reduced venous return, stromal edema, internal hemorrhage, and infarction with the subsequent sequelae. Ovarian cysts are 3 times more common in ovarian torsion cohorts than in the general population, and evidence suggests that ovarian cysts are very common in asymptomatic pregnant women but spontaneously resolve as the pregnancy progresses. Pregnancy is a risk factor for torsion (odds ratio, 18:1) but remains an uncommon event (0.167%). [7]
Ovarian torsion classically occurs unilaterally in a pathologically enlarged ovary. The irregularity of the ovary likely creates a fulcrum around which the oviduct revolves. The process can involve the ovary alone but more commonly affects both the ovary and the oviduct (adnexal torsion). Approximately 60% of cases of torsion occur on the right side.
When ovarian pathology is on the patient's right, appendicitis is high in the differential diagnosis, and computed tomography (CT) scans may be obtained first. When the whirlpool sign is seen on CT, ovarian torsion can be diagnosed even though ultrasonography may show arterial flow to the ovary. Future studies should determine whether CT alone is sufficient to diagnose or exclude ovarian torsion. [16]
Although torsion may rarely occur in normal adnexa, it more frequently arises from one of many anatomic changes. Torsion of a normal ovary is most common in young children, in whom developmental abnormalities (eg, excessively long fallopian tubes or absent mesosalpinx) may be responsible. In fact, fewer than half of ovarian torsion cases in pediatric patients involve cysts, teratomas, or other masses.
During early pregnancy, the presence of an enlarged corpus luteum cyst likely predisposes the ovary to torsion. Women undergoing induction of ovulation for infertility carry an even greater risk, in that numerous theca lutein cysts significantly expand the ovarian volume.
Etiology
Anatomic changes affecting the weight and the size of the ovary may alter the position of the fallopian tube and allow twisting to occur.
Pregnancy is associated with, and may be responsible for, torsion in approximately 20% of adnexal torsion cases, [7] probably secondary to the ovarian enlargement that occurs during ovulation in combination with laxity of the supporting tissues of the ovary.
Congenitally malformed and elongated fallopian tubes may be seen, particularly in young, prepubertal patients.
Ovarian tumors, both benign and malignant, are implicated in 50-60% of cases of torsion. Involved masses are nearly all larger than 4-6 cm, although torsion is still possible with smaller masses. Dermoid tumors are most common. [17] Malignant tumors are much less likely to result in torsion than benign tumors are. This is because of the presence of cancerous adhesions that fix the ovary to surrounding tissues.
Conversely, patients with a history of pelvic surgery (principally tubal ligation) are at increased risk for torsion, probably because of adhesions that provide a site around which the ovarian pedicle may twist.
Epidemiology
Ovarian torsion is the fifth most common gynecologic surgical emergency, accounting for 2.7% of cases of acute gynecologic complaints in 1 series. Ovarian torsion is encountered more often in women who have had ovarian stimulation, which likely accounts for a slightly increased incidence in developed countries. [18, 19]
Ovarian torsion applies strictly to the female sex. It can occur at any age, but most cases occur in the early reproductive years. The median age reported by a large review was 28 years. The percentage of patients younger than 30 years is approximately 70-75%. Two groups of women show a particular tendency to be affected by adnexal torsion (ovarian torsion): (1) women in their mid 20s and (2) women who are postmenopausal [18, 19]
Approximately 20% of cases of torsion occur during pregnancy. [18, 19] Postmenopausal women with an adnexal mass may also be affected. Adolescents are also at risk; this may be because of changes in the weight of their maturing adnexa. [19] Approximately 17% of cases have been found to occur in premenarchal or postmenopausal women. Although ovarian torsion in very young children is rare, a case of ovarian cyst torsion was reported in a 2-year-old. [20]
Prognosis
With early diagnosis and appropriate treatment, the prognosis of ovarian torsion is excellent. However, most patients with ovarian torsion have a delayed diagnosis, often resulting in infarction and necrosis of the ovary. The ovarian salvage rate has been reported to be less than 10% in adults but as high as 27% in pediatric patients. [13]
Although the loss of a single ovary is unlikely to result in significantly reduced fertility and no cases of death due to ovarian torsion have been reported, early diagnosis allows conservative laparoscopic treatment and reduction in complications. In a retrospective large study comparing pregnant patients with adnexal torsion to nonpregnant patients with adnexal torsion, the recurrence rate of torsion was 19.5% in pregnant women and 9.1% in nonpregnant women. [14]
-
Video depicts 2 findings: (1) enlarged hypovascular left ovary and (2) flow in healthy right ovary. Small amount of intraperitoneal fluid surrounds left ovary.
