Practice Essentials
Barotrauma is a well-recognized complication of mechanical ventilation. [1] Although most frequently encountered in patients with the acute respiratory distress syndrome (ARDS), it can occur in any patient receiving mechanical ventilation. [2, 3] In addition, barotrauma can occur in patients with a wide range of underlying pulmonary conditions (eg, asthma, chronic obstructive pulmonary disease [COPD], interstitial lung disease, or Pneumocystis jiroveci [Pneumocystis carinii] pneumonia).
In clinical medicine, barotrauma is used to describe the manifestations of extra-alveolar air during mechanical ventilation. Early descriptions of barotrauma refer to rupture of the lung after forceful exhalation against a closed glottis—for example, pulmonary injury after a deep-sea dive (eg, breath-holding while pearl diving). Although nonmechanically ventilated patients may have barotrauma, most cases occur in patients receiving mechanical ventilation.
The clinical presentation can vary, ranging from absent symptoms with the subtle radiographic findings of pulmonary (or perivascular) interstitial emphysema (PIE) to respiratory distress or cardiac arrest due to a large tension pneumothorax. [4] Other manifestations include subcutaneous emphysema, pneumopericardium, pneumomediastinum, and even pneumoperitoneum, singly or in combination.
Barotrauma was once the most frequent and easily recognized complication of mechanical ventilation. It is now evident, however, that barotrauma represents only one of the mechanisms underlying the broad category of ventilator-induced lung injury (VILI). [5] As the term suggests, the lung injury associated with barotrauma is mediated by increased alveolar pressures.
Other manifestations of VILI have been termed volutrauma, atelectotrauma, and biotrauma (cytokine- and chemokine-mediated) to reflect the major pathophysiologic events behind the injury.
Improved understanding of the mechanisms underlying VILI and barotrauma makes it imperative for physicians to adjust ventilator settings to prevent alveolar overdistention. There has been controversy regarding the optimal approach for lung-protective ventilation, but consistent benefit has been noted with low tidal volume and no increased risk with varying levels of positive end-expiratory pressure (PEEP). Whereas low-tidal-volume ventilation has been strongly advocated, plateau pressure may be a more useful parameter to monitor and a better reflection of barotrauma risk in these patients.
Low tidal volume is an effective ventilation strategy, but clinicians have been somewhat slow to adopt this approach. With increasing evidence to support its use, the overall tidal volume used in mechanically ventilated patients had decreased over time, and current practice involves tidal volumes that are lower than those used in the past. Limiting plateau pressures to less than 30 cm H2O is an effective approach for all patients. With volume ventilators, this is best accomplished with low tidal volumes. It also appears that a pressure-limited approach can be effective.
For more information, see Acute Respiratory Distress Syndrome and Pediatric Acute Respiratory Distress Syndrome.
Pathophysiology
An appreciation of the pathophysiology of barotrauma in mechanically ventilated patients improves the understanding of its clinical manifestations. It is important to recognize that lung involvement in persons with ARDS is heterogeneous and that some portions of the lungs are more adversely affected than others. This involvement can lead to maldistribution of mechanically delivered tidal volume, with some alveoli subjected to more distention than others.
Pressures between adjacent alveoli may initially equilibrate, but alveolar pressures eventually increase, creating a pressure gradient between the alveoli and adjacent perivascular sheath. This gradient may result in rupture of the alveoli adjacent to the perivascular sheath, with ensuing passage of air into the perivascular sheath, and proximal dissection into the mediastinum. This condition is often referred to as PIE.
In persons with PIE, alveolar air is further decompressed by dissecting along lines of least resistance. These pathways include subcutaneous tissues, where the air produces subcutaneous emphysema, or along tissue planes, resulting in pneumopericardium, pneumoperitoneum, or subpleural air cysts.
In the mediastinum, air can track along tissue planes, creating a pneumomediastinum, whereas increased pressures that rupture through the mediastinal pleura produce a pneumothorax. This is the most dreaded manifestation of barotrauma, and continued accumulation of air during mechanical ventilation can progress to a tension pneumothorax, sometimes with catastrophic consequences.
In many patients, radiographic evidence of barotrauma (eg, PIE or pneumomediastinum) can be noted before any clinical manifestations are evident and, certainly, before a pneumothorax occurs.
In view of the preceding description, alveolar overdistention is the key element in the development of barotrauma. In this sense, “barotrauma” is a misnomer, because the term suggests the presence of elevated pressures in its pathogenesis. Current concepts have suggested that high-tidal-volume ventilation produces the alveolar disruption that triggers the aforementioned chain of events.
Therefore, VILI seen with high tidal volume is most accurately termed volutrauma, and it has been the basis for clinical trials that have established a low-tidal-volume approach to mechanical ventilation.
On the other hand, transalveolar pressure, a measure of alveolar distention, provides another indication of the risk of barotrauma. The concept is the same, with overdistended alveoli leading to disruption in the alveolar epithelium and decompression of air as previously outlined. The plateau pressure provides the best estimate of transalveolar pressure, and some have argued that this is the key risk factor for the development of barotrauma.
Other aspects of VILI include atelectotrauma and biotrauma. Atelectotrauma is the injury associated with repeated opening and closing (recruitment and collapse) of collapsed alveoli during mechanical ventilation. Biotrauma refers to the release of inflammatory cytokines and chemokines as a result of VILI. These cytokines have both pulmonary and systemic effects and may contribute to mortality.
These two aspects have not been implicated as direct causes of barotrauma, but they may contribute to the development of abnormal lung parenchyma and lung mechanics, which, in turn, may increase the risk of barotrauma.
Also important is to recognize that the effects of VILI are greater in patients with preexisting lung disease or those with acute lung injury (ALI) or ARDS than in persons with healthy lungs. These differences can be gleaned from differences in barotrauma evaluated on the basis of underlying lung disease.
In a large cohort, patients with COPD had the lowest incidence of barotrauma (2.9%). The incidence was highest in persons with chronic interstitial lung disease (10%); patients with ARDS had an intermediate rate (6.5%). These observations underscore the heterogeneity of lung disease and regional differences in lung compliance.
Etiology
Barotrauma is one of the manifestations of VILI. In a multivariate analysis, the risk of barotrauma was increased in mechanically ventilated patients who had asthma, chronic interstitial lung disease, or ARDS, as well as in those who developed ARDS during mechanical ventilation. Although barotrauma can occur in patients without ARDS, ARDS has always been the major risk factor for barotrauma in mechanically ventilated patients.
Because the current understanding of the pathophysiology underlying barotrauma is related to high tidal volumes that cause alveolar overdistention and alveolar rupture, it follows that barotrauma is related to the ventilator settings used in mechanical ventilation.
Barotrauma has been associated with high peak inspiratory airway pressures (>40 cm H2O) and plateau pressures (>35 cm H2O); however, its association with high tidal volumes has not been confirmed. The ARDS Network trial to compare high and low tidal volumes demonstrated a mortality benefit with low tidal volumes, but incidences of barotrauma did not differ between the groups. [6]
Plateau pressures provide an estimate of transalveolar pressure. Transalveolar pressure is a function of both the tidal volume and the underlying compliance of the lung. Therefore, plateau pressures can reasonably be used as another measure of the risk of barotrauma. Although the exact value of the optimal plateau pressure is debated, the general consensus is that a plateau pressure of less than 30 cm H2O is protective.
It follows that mechanical ventilation based on a pressure-limited approach using pressure-cycled ventilatory strategies such as pressure-control ventilation should achieve outcomes similar to those of volume-based mechanical ventilation. [7] Data are limited, but reviews and meta-analyses using a pressure-limited strategy with a target plateau pressure lower than 30 cm H2O have shown reduced mortality without any increase in barotrauma.
Pneumothoraces can also occur in situations unrelated to mechanical ventilation. These include cases involving primary or secondary spontaneous pneumothoraces (underlying lung disease), as well as pneumothoraces associated with invasive procedures, use of inhalational drugs, blunt or penetrating chest trauma, or menses (catamenial). Patients with these conditions may develop a pneumothorax that requires mechanical ventilation.
Although the events may be temporally separate, distinguishing a pneumothorax unrelated to mechanical ventilation from a pneumothorax due to mechanical ventilation may be difficult in practice.
Epidemiology
United States statistics
The incidence of barotrauma in mechanically ventilated patients has varied widely and has been reported to be as low as 0.5% in postoperative patients and as high as 87% in patients with ARDS. The underlying condition of the lungs obviously plays a significant role in the development of barotrauma. Patients with ARDS have had the highest incidence of barotrauma, at 40-60%, with the associated mortality in a similar range.
The incidence of barotrauma in persons with ARDS and all mechanically ventilated patients has decreased markedly since the latter part of the 20th century. In a retrospective analysis of more than 5000 patients, barotrauma was noted in approximately 3% of all mechanically ventilated patients and slightly more than 6% of ARDS patients. [8] This change in incidence is most likely related to changes in the approach to mechanical ventilation, specifically with respect to ventilator settings and the use of lower tidal volumes in conjunction with reduced plateau pressures.
Data from prospective ARDS trials also reported a much lower incidence of barotrauma, in the 5-10% range in meta-analyses and in the 5-6% range in focused research trials, figures strikingly lower that the nearly 50% figure noted in the past. [9, 10, 11]
Coronavirus disease 2019 (COVID-19) appears to increase the incidence of barotrauma in patients with ARDS. [12]
International statistics
No international or geographic influences are known to affect the incidence of barotrauma. Any differences are probably small and are more likely to be a reflection of the underlying disease status of the patients and local differences in ventilator management than of any ethnic or environmental influence.
International multicenter trials involving patients with ARDS revealed a decrease in the incidence of barotrauma to a range of 8-15%, a figure comparable to the incidence in the United States. This decline in barotrauma is also associated with a decline in the mortality from ARDS, though the latter is not of the same magnitude as the former.
As a complication of mechanical ventilation, age is not expected to influence barotrauma. However, the incidence of ALI does increase with age, especially for individuals in whom sepsis is a risk factor for the development of ARDS. Additionally, it should be noted that lung compliance normally decreases with age, and this may be a factor in the risk for barotrauma in older patients.
No ethnic predisposition to barotrauma is reported. No sex differences are known regarding the development of barotrauma. [8]
Prognosis
The morbidity and mortality attributed to barotrauma are related to the severity of its manifestations in the patient, and these manifestations tend to reflect the underlying disease more than they do the barotrauma itself.
Given the spectrum of presentations, pneumothorax is the only manifestation expected to affect morbidity or mortality. Local complications (eg, bleeding or infection) can be related to the thoracostomy tube. If undetected, the pneumothorax can result in adverse consequences related to its cardiopulmonary effects (eg, hypotension, shock, hypoxemia, or cardiac ischemia). Secondary effects, if corrected or eliminated, have little effect on the patient.
PIE or air along tissue planes (eg, subcutaneous emphysema or pneumomediastinum) may be the only manifestation in some patients. This finding is more a radiographic diagnosis than a clinical entity and in itself is without clinical significance. However, it can be a harbinger of a pneumothorax. In one series, mediastinal emphysema led to a subsequent pneumothorax in 42% of patients.
Pneumothoraces can be life threatening, especially if they are not recognized and not treated. However, the effect of barotrauma on morbidity and mortality is mixed. In the 2000 ARDS Network trial of low versus high tidal volume, the incidence of barotrauma was similar in the two groups, though mortality was lower in the low-tidal-volume group. [6] Other series of patients with ARDS have not identified pneumothoraces as a cause of increased mortality in these patients.
Although a pneumothorax is a risk factor for mortality, it is more likely a reflection of the severity of the underlying lung disease than a direct cause of death. In one series of patients with ARDS, fewer than 2% of the 66 deaths were directly attributable to a pneumothorax.
Early ventilator practices using high tidal volumes and resulting in high peak inspiratory pressures and plateau pressures may confound some of these data. In early series, the incidences of barotrauma and subsequent mortality were high and were associated with the barotrauma. When low tidal volumes were used along with low plateau pressures, the incidence of barotrauma decreased.
Although barotrauma did not appear to influence mortality in an interventional trial comparing low with high tidal volume, an observational study of more than 5000 intensive care unit (ICU) patients showed that barotrauma increased the median length of mechanical ventilation and ICU stay by 2 days and increased mortality by 12% (from 39% to 51%). [13]
Overall, the prognosis for recovery from barotrauma is anticipated to be excellent; however, its effects at the time of the event and the patient’s underlying comorbidities and lung disease affect the prognosis. To provide perspective, mortality from ARDS has been steadily decreasing over the past few decades, from a high point of 70% or greater in the early 1980s to the 30-40% range in subsequent years and to even lower levels (< 30%) in later prospective trials. [11, 14]
Patient Education
Patient education does not affect the incidence of barotrauma, though education may improve a patient’s understanding of this complication and the underlying disease.
The use of optimal ventilator settings and prompt recognition of the signs of barotrauma and a tension pneumothorax are key to management and therefore should be the areas of focus for educational efforts. These educational efforts should be directed at all healthcare providers—specifically, physicians, nurses, and respiratory therapists—who are involved in the care of mechanically ventilated patients.
-
Image shows subtle manifestations of barotrauma, pulmonary interstitial emphysema, and subcutaneous emphysema. This patient was being treated with noninvasive ventilation. Importantly, recognize that barotrauma can be associated with noninvasive ventilation.
-
This patient was undergoing treatment for acute respiratory distress syndrome when a new lucency was found on a routine portable chest radiograph. The lucency over the right midlung zone represents a subpleural air cyst. Such cysts can increase in size and eventually rupture, creating a pneumothorax.
-
This patient developed a left tension pneumothorax during treatment of a severe pneumonia. Note the marked shift of the mediastinal structures to the right, the partial collapse of the left lung, and the inversion and downward displacement of the left hemidiaphragm.
-
This patient had a left pneumothorax with placement of a left thoracostomy tube. However, this portable chest radiograph shows a persistent retrocardiac lucency, which raised questions about a persistent pneumothorax.
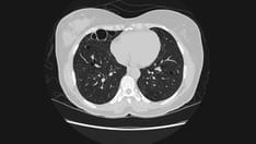
-
This chest CT scan was obtained on the same day as the chest radiograph of the patient in Media File 4. The image shows a loculated pneumothorax in the mid left lung. This image illustrates the information a chest CT scan can add and the difficulty in diagnosing a pneumothorax with the limited views provided by a portable chest radiograph.
-
Acute Respiratory Distress Syndrome Network reference summarizing the mechanical ventilation protocol.
